Temporal Coordination of Three Cycles in a Parasitic Barnacle Suggests Intricate Mechanism of Host-parasite Interaction
Rhizocephala comprises a diverse group of parasitic barnacles, obligate parasites known for their ability to control over the host. During the reproductive phase of the parasitic barnacle Polyascus planus, three cycles progress simultaneously in its external reproductive sac (the externa) — the ovarian cycle, secretory cycle of the ovisac-secreting glands (the colleteric glands), and molt cycle of the brood chamber (the mantle cavity), culminating in a succession of events within a fairly narrow window of time — first, the mantle cavity molts, refreshing the brood chamber, then mature follicles ovulate and the ovulated ova, wrapped within the ovisac, are deposited into the mantle cavity to be fertilized. The tight temporal coordination of these cycles is vital for successful reproduction and suggests that a network consists of control pathways of both the host and parasite is involved in this intricate coordination.

(A) Mature oocytes of Polyascus planus are escaping from ruptured follicles.

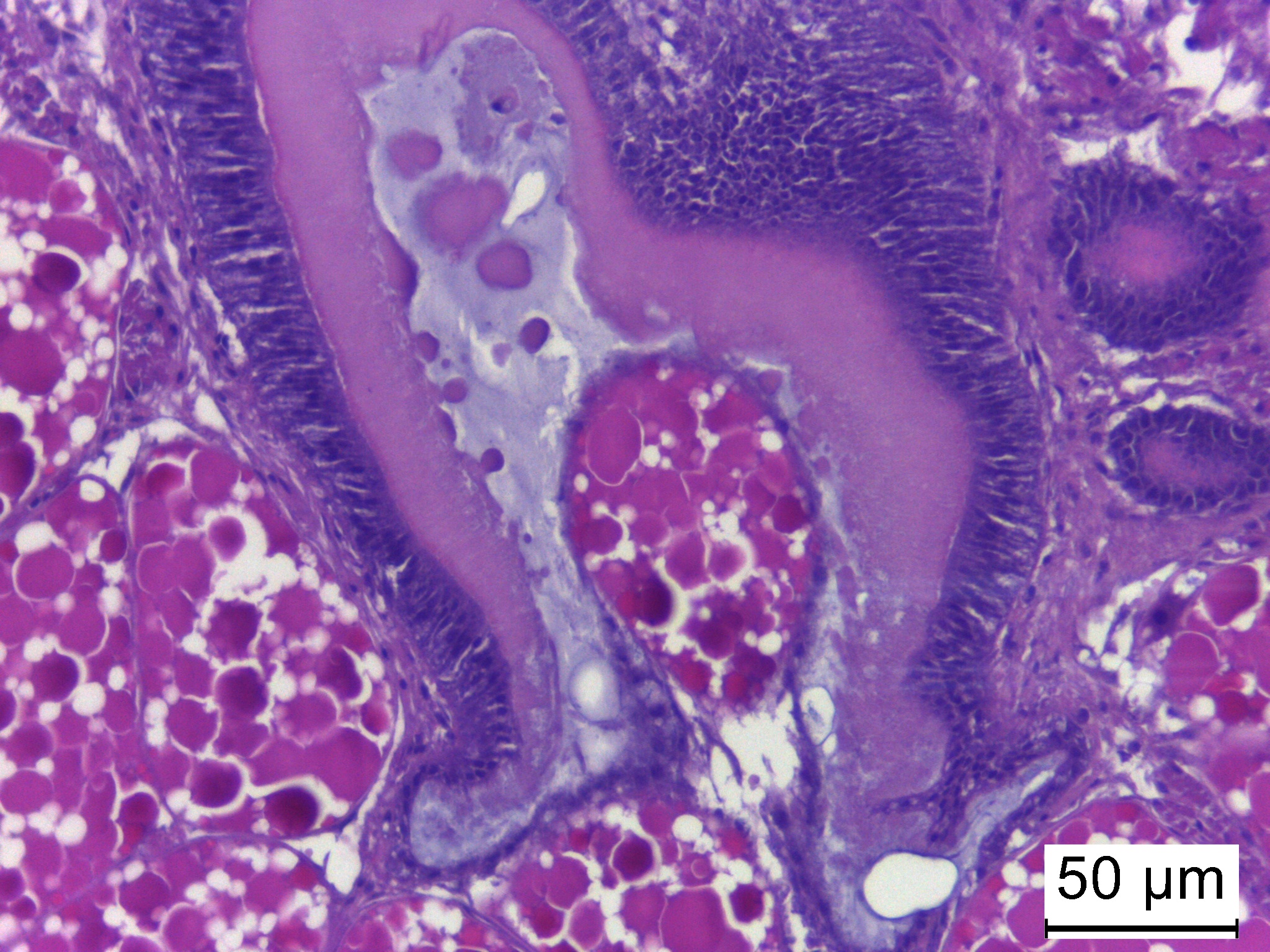
(B) An ovulated oocyte of Polyascus planus is entering the atrium of the colleteric glands, the lumen of which is lined by ovisacs; the oocyte, wrapped inside the ovisac, will soon be deposited into the mantle cavity.
Read the full article, here

